Prazne kalorije
Često se na našim školskim hodnicima i ispred škole može vidjeti učenike s bocama gaziranih pića. Neki ih donose kod kuće, a neki kupuju u obližnoj trgovini, često i u bocama od litre. Kako smo od nekih učenika čuli tvrdnju da im baš gazirana pića najbolje gase žeđ odlučili smo razgovarati s učiteljicom biologije Tanjom Maltar-Okun i pitati je što ona misli o gaziranim pićima.
Neki naši kolege tvrde da žeđ najbolje ugase s gaziranim pićima. Što o tome kaže znanost?
Jedan od glavnih sastojaka gaziranih pića je šećer. Šećer vuče iz organizma dosta vode i i ustvari pojačava žeđ.
Koji su za zdravlje najproblematičniji sastojci gaziranih pića?
Na zdravlje vrlo loše utječu umjetna sladila. Jedno od takvih npr. je natrijev ciklonat (oznaka mu je E952).
Valja istaknuti da su ta umjetna sladila puno opasnija od običnog šećera. Svi oni koji piju gazirana pića koja se reklamiraju kako nemaju šećer, i misle kako su si time učinili dobro i smanjili količinu šećera, ustvari griješe. U gaziranim pićima s umjetnim sladilima može biti i do 200 puta više šećera, a sadrže i vrlo opasan sastojak aspartan koji može biti uzrok niza bolesti između ostalih i tumora na mozgu.
Opasni su sastojci i fenilalanini. To su aminokiseline koje djeluju na pojačavanje serotonina tj. hormona sreće. No, energija koju se dobije pijenjem gaziranih pića je kratkotrajna i zato ih se želi sve više piti.
Vrlo su škodljivi sastojci natrijev citrat koji funkcionira kao regulator okusa, a djeluje na zgrušnjavanje krvi. Još jedan od opasnih je i natrijev benzonat koji između ostalog izaziva hiperaktivnost i smanjuje inteligenciju kod djece.
Posebno za djecu, štetan je i kofein jer ubrzava otkucaje srca i samim tima narušava cijeli živčani i krvožilni sustav.
Uz bolesti koje ste nam napomenuli na što još loše utječu sastojci iz gaziranih pića?
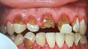
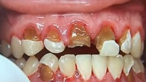
Kiseline iz gaziranih pića vrlo loše utječu na zube jer razaraju zaubnu caklinu. Neki sastojci djeluju na smanjene tonusa mišića, a vrlo su škodljivi i za cjelokupni sustav probavnih organa posebno bubrege. Problematični su i za kosti jer smanjuju kalcij u organizmu.
Što bi nam preporučili da pijemo umjesto gaziranih pića?
Najbolje vodu i iscjeđene prirodne sokove, npr. naranča, jabuka i to one za koje znamo da nisu bili tretirani pesticidima. /Lorena Hubina, 8.a; fotografije preuzete s interneta/
Gazirana pića debljaju i daju prazne kalorije
Na t-portalu pronašli smo podatak o istraživanju na američkom Sveučilištu Emroy. To je istraživanja pokazalo da većina tinejdžera najviše šećera dnevno dobiva iz gaziranih pića. Većina istraživanih konzumirala je oko 119 grama šećera dnevno što je 476 kalorija. U tom je istraživanju rečeno i da su to prazne kalorije jer ne sadrže nikakve druge važne sastojke, već štete zdravlju i utječu na pretilost.
„Treperav“ okus daje fosforna kiselina
Karakterističan „treperav“ i oštar okus gaziranim sokovima daje fosforna kiselina piše na portalu lepoizdravo.com. Oni ističu i da upravo fosforna kiselina vrlo loše utječe na kožu i mišiće, te s vremenom oštećuje bubrege i srce.
Rubrika – Eko











































